TALUS FRACTURE -1
TALUS FRACTURE -2
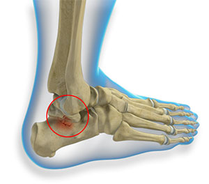
What is a Talus Fracture?
The talus is a small bone at the ankle joint that connects the heel bone and the shinbones, enabling up and down movement of the foot.
How do Talus Fractures occur?
Fractures in the talus bone may occur due to a fall from a great height, motor vehicle accident or sports injury.
What are the Symptoms of a Talus Fracture?
The symptoms of talus fractures include:
- Severe ankle pain
- Inability to walk
- Swelling and tenderness
How are Talus Fractures Diagnosed?
When you present to the clinic with these symptoms, your doctor will perform a thorough physical examination and order an X-ray or CT scan to determine the location and severity of the fracture.
What are the Treatment Options for Talus Fractures?
Based on the findings, your doctor will treat talus fractures with either nonsurgical or surgical methods.
- Nonsurgical treatment: If the bone has not moved out of alignment, your doctor will place your ankle in a cast for 6 to 8 weeks. You will be advised to perform exercises to help strengthen your foot and ankle and restore range of motion once the cast is removed.
- Surgical treatment: If the fractured bones have shifted out of position, your surgeon will suggest surgery to realign the fractured bones and stabilize the talus with metal plates and/or screws. After surgery, you may have to wear a cast for 6 to 8 weeks until complete healing. Physical therapy exercises will be initiated to restore movement.
If you wish to be advised on the most appropriate treatment, please call to schedule an appointment or click to request an appointment online.





