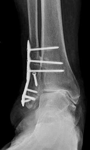
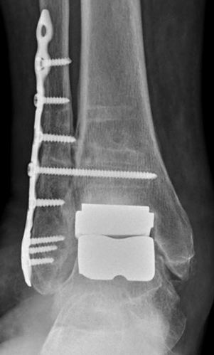
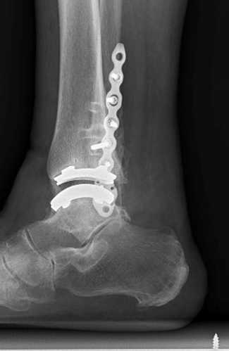
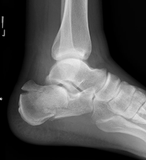
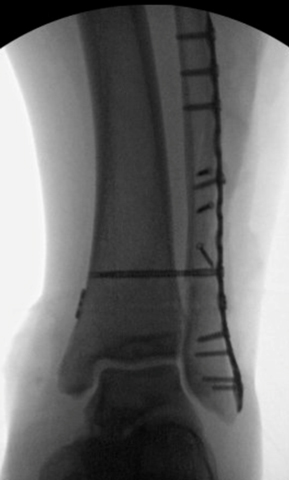
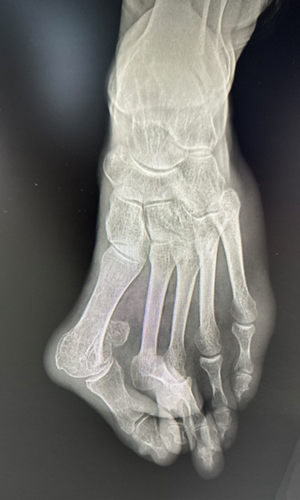
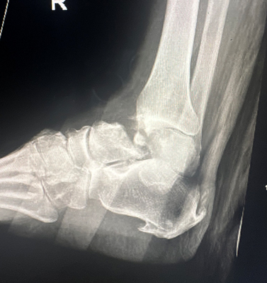
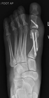
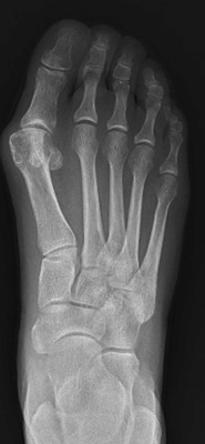
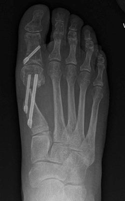
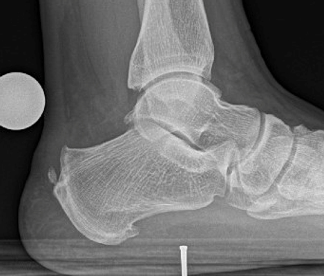
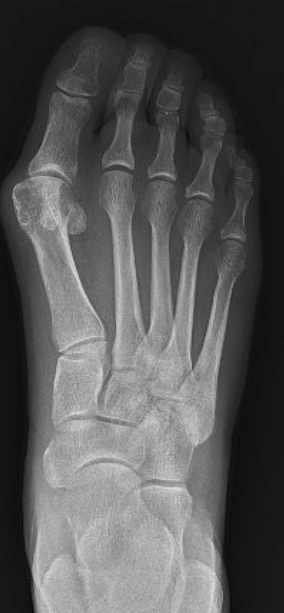
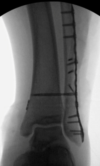
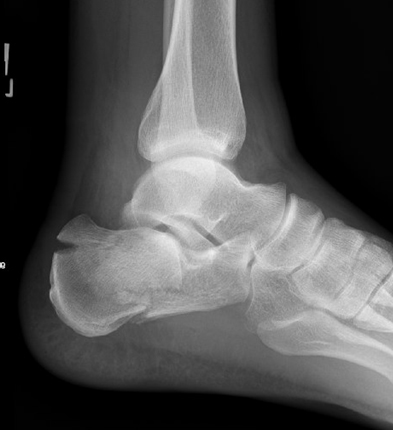
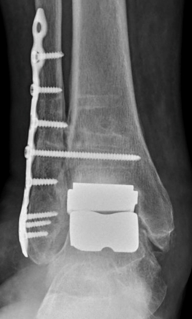
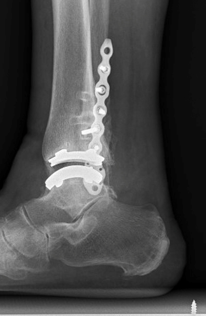
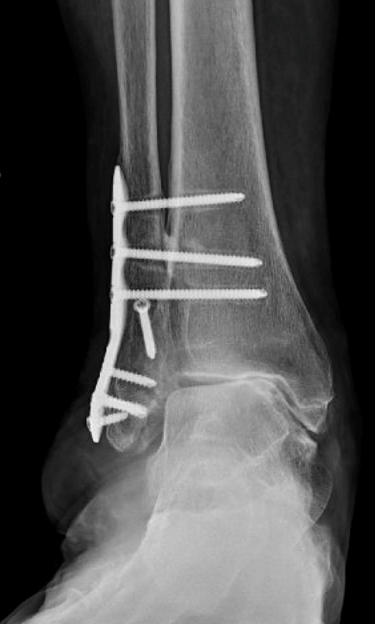
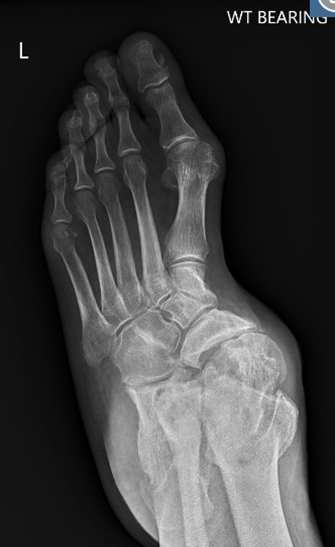
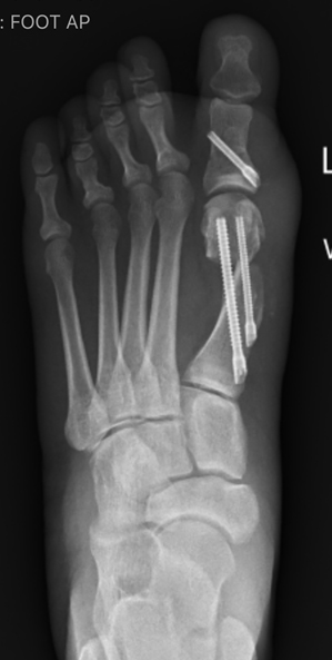
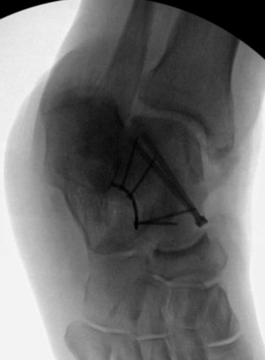
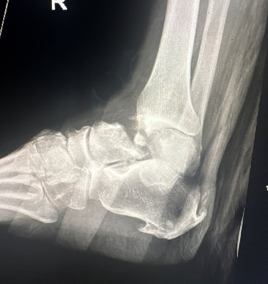
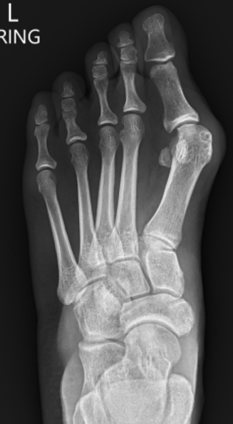
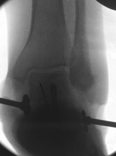
TOTAL ANKLE REPLACEMENT :: ORIF CALCANEUS :: ORIF ANKLE FRACTURE DISLOCATION :: COMPLEX BUNION AND LESSER TOE CORRECTION :: TALUS FRACTURE -1 :: TALUS FRACTURE -2 :: LISFRANC REPAIR :: COMPLEX TRIPLE ARTHRODESIS 1 :: COMPLEX TRIPLE ARTHRODESIS 2 :: MINIMALLY INVASIVE BUNION REPAIR 1 :: MINIMALLY INVASIVE BUNION REPAIR 2 :: ARTHROSCOPIC CARTILAGE REPAIR :: TENEX SPUR DEBRIDEMENT :: Haglunds Debridement and Achilles Repair













































